Neurologie

Die Neurologie beschäftigt sich mit den Erkrankungen des Nervensystems. Dabei werden das periphere Nervensystem und das Zentralnervensystem unterschieden. Letzteres umfasst das Gehirn und das Rückenmark. Die Ursachen neurologischer Erkrankungen sind mannigfaltig. Es müssen traumatische, entzündliche, metabolisch/toxische, angeborene und tumoröse Erkrankungen differenziert werden. Es können auch nicht immer neurologische und orthopädische Erkrankungen auf den ersten Blick unterschieden werden. Bei beiden Erkrankungen sehen wir vordergründig oft nur eine Lahmheit.

Um die Ursache einer Erkrankung zu ermitteln wird zuerst eine klinisch-neurologische Untersuchung durchgeführt. Die richtige Beurteilung der erhobenen Befunde erlaubt die Erkrankung zu lokalisieren, d.h. einem bestimmten Anteil des Nervensystems zuzuordnen.

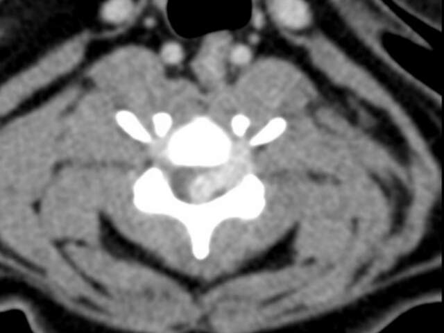
Je nach Art der Erkrankung sind weitergehende Untersuchungen notwendig. So ist bei einem akuten Bandscheibenvorfall eine Computertomografie (CT) mit Kontrastmittel bzw eine Myelo- CT des Rückenmarkkanals angezeigt. Bei Verdacht auf entzündliche oder tumoröse Erkrankungen des zentralen Nervensystems sollte eine Untersuchung der Gehirn-und Rückenmarksflüssigkeit (Liquoruntersuchung) erfolgen. In einigen Fällen kann man eine genaue Diagnose nur durch eine Magnetresonanztomografie (MRT) oder durch die Elektrodiagnostik stellen. Hier ist die gute Zusammenarbeit mit Universitäts- bzw. Spezialkliniken erforderlich.

Kontaktformular für Tierbesitzer
Bitte nutzen Sie das praktische Formular für Tierbesitzer. Sie können damit Dateien wie Röntgenbilder und Laborbefunde von Ihrem Haustierarzt hochladen.
News & Aktuelles
aus der Tagestierklinik Wittenberg. Bleiben Sie gut informiert - wir halten Sie sehr gern auf dem Laufenden.
Kontakt & Anfahrt
Finden Sie einfach den Weg zu uns. Wir freuen uns, wenn Sie vorab einen Termin telefonisch oder Formular vereinbaren.
Tierklinik Wittenberg auf facebook
Bleiben Sie mit uns verbunden. Auf facebook finden Sie aktuelle Informationen rund um die Tagestierklinik Wittenberg.